Refinaciamento de dívidas do Fies começa hoje com descontos até 92%

A partir desta segunda-feira (7) quem tem contratos firmados até 2017 com instituições financeiras credoras para Financiamento Estudantil (Fies) pode pedir o refinanciamento da dívida. Por lei, os bancos serão obrigados a conceder descontos que podem variar entre 12% e 92%. O saldo devedor poderá ser parcelado em até 150 vezes, a depender da situação. […]
Bolsonaro defende revisão de política de preços para conter alta dos combustíveis

Diante da disparada do preço do petróleo, o presidente Jair Bolsonaro (PL) afirmou nesta segunda-feira (7) que o governo estuda rever a política de paridade internacional de preços da Petrobras. “Tem uma legislação errada feita lá atrás que você tem uma paridade com o preço internacional [dos combustíveis]. Ou seja, o petróleo – o que […]
“Nós faremos uma grande bancada federal”, diz João Azevêdo durante evento de lançamento de pré-candidatura de Ricardo Barbosa

Durante o seu discurso, no lançamento da pré-candidatura do deputado estadual Ricardo Barbosa (PSB) à Câmara Federal, nesta segunda-feira (07), o governador João Azevêdo (PSB), informou que a legenda fará uma “grande bancada federal”. O chefe do Executivo destacou alguns nomes que devem disputar ao cargo de deputado federal nessas eleições. Ainda de acordo com […]
Inmet prorroga alerta de chuvas intensas para João Pessoa e mais 12 cidades

O Instituto Nacional de Meteorologia (Inmet) renovou o alerta de chuvas intensas para a Zona da Mata Paraibana. Podem registrar precipitações de até 50 milímetros por dia os municípios de João Pessoa, Alhandra, Baía da Traição, Bayeux, Caaporã, Cabedelo, Conde, Lucena, Marcação, Mataraca, Pitimbu, Rio Tinto e Santa Rita. O novo aviso, publicado nesta segunda-feira […]
PT traz Cida Ramos, Estela Bezerra e Jeová Campos de volta aos quadros

Eleitos pelo PSB em 2018, os deputados Cida Ramos, Estela Bezerra e Jeová Campos agora passarão a ser do PT. Os três se filiam nesta segunda-feira (7), em ato com a presença do senador Veneziano Vital do Rêgo (MDB), pré-candidato ao Governo da Paraíba apoiado por parte da legenda. O evento acontece às 16h, na […]
Bolsonaristas divulgam notícia falsa de que Lula acabaria com Pix se voltasse à Presidência

Bolsonaristas estão espalhando pelas redes sociais uma notícia falsa, atribuída ao G1, de que o ex-presidente Lula (PT), caso volte à Presidência da República pela eleição deste ano, acabaria com o Pix. A equipe do petista desmentiu o material. Leia: “As milícias digitais bolsonaristas circulam a notícia falsa de que o ex-presidente Luiz Inácio Lula […]
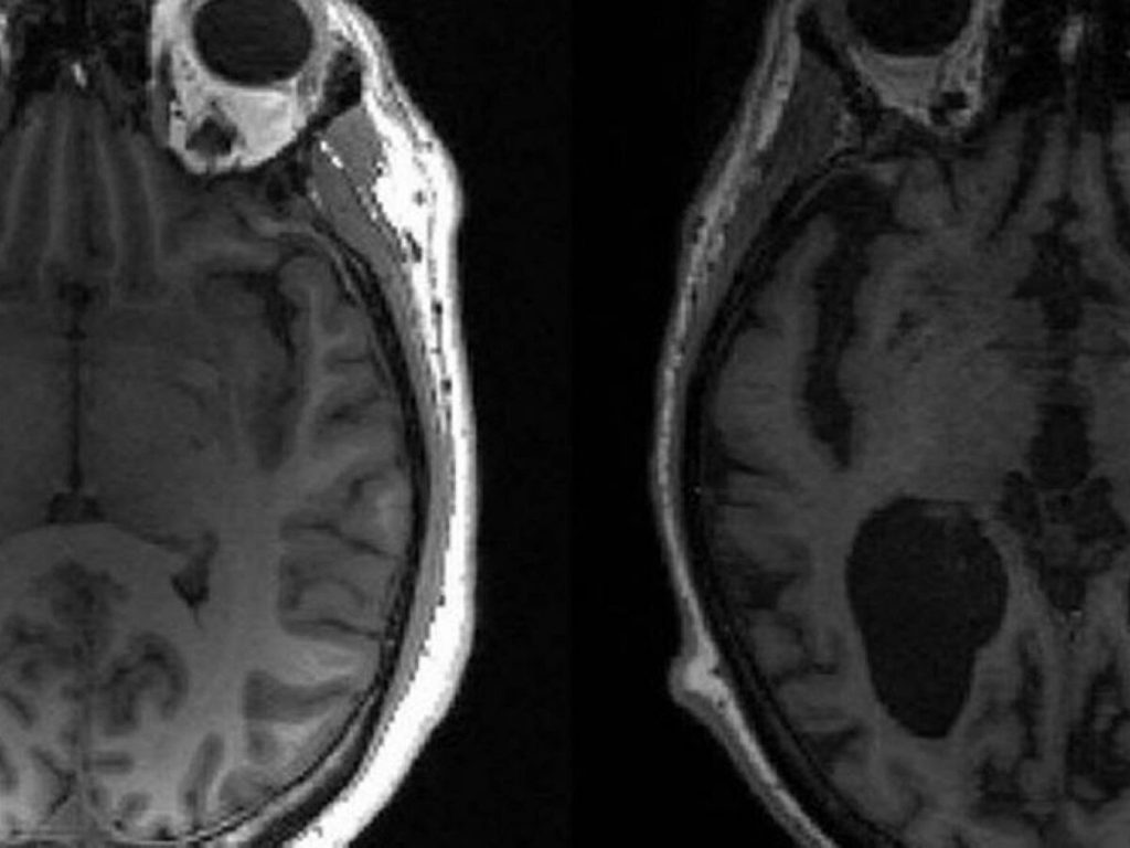
Alzheimer: pesquisadores descobrem por que as mulheres têm mais risco de sofrer da doença

Embora se saiba que as mulheres têm mais risco de desenvolver a doença de Alzheimer, as causas que levam a esse fenômeno eram até então desconhecidas pela ciência. Porém, um estudo publicado na revista científica Nature, nesta semana, encontrou uma resposta para a questão. Pesquisadores da Escola de Medicina da Universidade Emory, da Escola de […]
Senado aprecia nesta semana projetos relacionados às mulheres

Nesta semana em que se celebra o Dia Internacional da Mulher, comemorado nesta terça-feira (8), os projetos de temática feminina são destaque na lista de votações do Senado. A pauta vinha sendo preparada desde o encontro em fevereiro do presidente do Senado, Rodrigo Pacheco (PSD-MG), com representantes da bancada feminina. A casa também aprecia, na sexta-feira […]
Rússia anuncia cessar fogo para promover corredor humanitário; Ucrânia diz que proposta é inaceitável

A Rússia emitiu um comunicado oficial nessa segunda-feira (7) acerca de uma nova tentativa de cessar fogo para retirar civis ucranianos das cidades que são alvos de ataques russos. A Ucrânia, no entanto, considerou a proposta inaceitável. O cessar fogo vale para as cidades de Kiev, Mariupol, Kharkiv e Sumy, mas com a exigência de […]